anthony Опубликовано 1 июня, 2014 Жалоба Share Опубликовано 1 июня, 2014 Приветствую друзья, хотелось бы открыть тему по такой специальности. как рентгенохирургия. в нашем городе имеется 4 ангиографа. это 2 в ФЦССХ, 1 в АМОКБ, 1 в ГКБ№3. все ангиографы работают. конечно основной объём рентгенохирургических вмешательств, а конкретно на сердце, коронарных артериях, аорте, брахиоцефальных артериях и почечных артериях, проводится в ФЦССХ г.Астрахани. в АМОКБ приоритетным направлением является ОКС(инфаркт миокарда) и в этом же году планируется работа с ОНМК(инсульты), а так же проводятся окклюзирующие операции на переферических артериях и венах,чрескожные чреспечоночные вмешательства при механических желтухах и кистах печени. а так же ангиография, тоесть диагностическая операция всех артерий и вен и многое ещё другое. в ГКБ№3 проводятся только коронарографии, там всё в зачаточном состоянии.так вот, если имеются вопросы постараюсь ответить. пишите в ЛС или на форуме. спасибо. Ссылка на комментарий Поделиться на другие сайты More sharing options...
anthony Опубликовано 7 июня, 2014 Автор Жалоба Share Опубликовано 7 июня, 2014 В чём суть операций.производится пункция артерий или вен.смотря какая операция предполагается.и далее катетером который имеет свою форрму диаметр и длинну проводится до устья артерии и смотря что вы хотите с ней сделать. тоесть провести эмболизацию как например мы не раз проводили при опухолях почки или миомах матки и т.д. или установить стент в сосуд при инфаркте миокарда или просто провести диагностику того или иного сосуда, на момент патологии в нем. как например при аневризмах артерий головного мозга. все процедуры в основном сопровождаются введением контрастного вещества., но не то го допотопного как урографин. а совершенно нового который практически не вызывает никакй реакции организма.далее операция или диагностика заканчивается удалением инструментария из организма, и наложением зачастую тугой повязки. Ссылка на комментарий Поделиться на другие сайты More sharing options...
Niels Опубликовано 7 июня, 2014 Жалоба Share Опубликовано 7 июня, 2014 anthony В чём суть операций Если Вы так хотите пообщаться на эту тему, давайте поговорим об осложнениях метода. Что происходит с эндотелием сосудов (тончайший слой, которым выстланы сосуды изнутри, толщиной в одну плоскую клетку, слой, который соприкасается с кровью) , что происходит с ним, когда по нему поелозят катетером эндоскопа? И каковы последствия, если у стенки сосуда местами содрать эндотелий? Ссылка на комментарий Поделиться на другие сайты More sharing options...
anthony Опубликовано 7 июня, 2014 Автор Жалоба Share Опубликовано 7 июня, 2014 спасибо за вопрос.у нас не эндоскоп у нас просто катетеры которые имеют на своём конце мягкий кончик и никоем образом не могут повредить эндотелий, который называется интима - внетренний слой сосуда. так вот если его повредить что крайне не просто.на этом месте образуется диссекция то есть отслоение.но такое осложнение крайне редко. в данном случае проводится незамедлительная балонная ангиопластик,а либо она сама "залипает".повторюсь что это крайне редкое осложнение. за прошлый год проведено 1200 с хвостом коронарографий - прямое исследование сосудов сердца.где в устья коронарных артерий устанавливаются катетеры не было ни одной диссекции. Ссылка на комментарий Поделиться на другие сайты More sharing options...
anthony Опубликовано 7 июня, 2014 Автор Жалоба Share Опубликовано 7 июня, 2014 в данном случае мы не ищем клиентской базы, здесь я преследую лишь возможность рассказать форумчанам о новых возможностях в нашей области. которые стали ближе для астраханцев anthony Если Вы так хотите пообщаться на эту тему, давайте поговорим об осложнениях метода. Ссылка на комментарий Поделиться на другие сайты More sharing options...
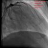
anthony Опубликовано 7 июня, 2014 Автор Жалоба Share Опубликовано 7 июня, 2014 Собственно основная наша работа. Пред нами левая коронарная артерия. диагноз острый инфаркт миокарда с подъёмом сегмента ST. Поступил по экстренным показаниям с района.возраст не помню, не соврать, около 35 лет.будут поясняющие скриншоты а так же видео того как видим мы на экране.думаю принцип понятен будет каждому. "открываем" "закртытую" артерию сохраняем жизнеспособность миокарда. на вопрос что будет если не делать этого - трансумуральный инфаркт миокарда передней стенки, со всеми вытекающими последствиями 100003.wmv 100004.wmv Ссылка на комментарий Поделиться на другие сайты More sharing options...
merlin666 Опубликовано 7 июня, 2014 Жалоба Share Опубликовано 7 июня, 2014 Ты где сейчас то? Также в АМОКБ? Ссылка на комментарий Поделиться на другие сайты More sharing options...
anthony Опубликовано 7 июня, 2014 Автор Жалоба Share Опубликовано 7 июня, 2014 да всё там же)) Ссылка на комментарий Поделиться на другие сайты More sharing options...
genom Опубликовано 7 июня, 2014 Жалоба Share Опубликовано 7 июня, 2014 Стентируете? Ссылка на комментарий Поделиться на другие сайты More sharing options...
Niels Опубликовано 7 июня, 2014 Жалоба Share Опубликовано 7 июня, 2014 anthony Спасибо за ответ. за прошлый год проведено 1200 с хвостом коронарографий - прямое исследование сосудов сердца.где в устья коронарных артерий устанавливаются катетеры не было ни одной диссекции. В этом можно быть уверенным на 100% ? эндотелий, который называется интима - внетренний слой сосуда Внутренняя оболочка сосуда (на жаргоне - интима) состоит из нескольких слоёв, внутренним является эндотелий. Равенство между эндотелием и туникой интимой я бы проводить не стал. То есть, Вы считаете, что благодаря мягкости катетера повреждений эндотелиальных клеток не происходит? Вы пишете о диссекции, которую я понимаю как расслоение, может, даже разволокнение. Я же пишу о повреждениях эндотелия. Много ли Вы видите атеросклеротических проявлений? Действительно ли они являются таковыми, как нас учили? Насколько велика опасность образования эмбола (при работе в атеросклеротически поражённых сосудах) в результате Ваших действий? Готовите ли Вы пациента перед проведением своих операций: пытаетесь ли как-то поменять/адаптировать реологические свойства крови, изменить баланс свёртывающей и противосвёртывающей систем? Да, Вы работаете не катетером эндоскопа, а просто одним катетером, что ли? Значит, облучаете пациента и облучаетесь сами (работаете под R-контролем) ? Ссылка на комментарий Поделиться на другие сайты More sharing options...
anthony Опубликовано 7 июня, 2014 Автор Жалоба Share Опубликовано 7 июня, 2014 Стентируете? стентируем Ссылка на комментарий Поделиться на другие сайты More sharing options...
genom Опубликовано 7 июня, 2014 Жалоба Share Опубликовано 7 июня, 2014 А в случае например трехсосудистых поражений итд, имеется в виду если требуется АКШ. направляете в ФЦССХ? Ссылка на комментарий Поделиться на другие сайты More sharing options...
genom Опубликовано 7 июня, 2014 Жалоба Share Опубликовано 7 июня, 2014 anthony Готовите ли Вы пациента перед проведением своих операций: пытаетесь ли как-то поменять/адаптировать реологические свойства крови, изменить баланс свёртывающей и противосвёртывающей систем? Наверное, на это нет достаточного количества времени, в случае с острым инфарктом Ссылка на комментарий Поделиться на другие сайты More sharing options...
Niels Опубликовано 7 июня, 2014 Жалоба Share Опубликовано 7 июня, 2014 genom направляете в ФЦССХ? Они, насколько я понимаю - это конечный этап. Если они чего-то не делают, то в ФЦ ССХ направляет тот, кто направил бы и к ним (пол-ка по месту жительства) . В случае с острым инфарктом - конечно, времени нет. Можно надеяться, что средняя продолжительность жизни увеличится теперь? В любом случае, очень здорово, что на Форуме появился теперь такой специалист. Ссылка на комментарий Поделиться на другие сайты More sharing options...
genom Опубликовано 7 июня, 2014 Жалоба Share Опубликовано 7 июня, 2014 Насколько я помню, могу ошибаться, операции по реваскуляризации миокарда не продлевают жизнь и не уменьшают риск повторного ИМ. Лишь влияют на качество жизни. Ссылка на комментарий Поделиться на другие сайты More sharing options...
anthony Опубликовано 7 июня, 2014 Автор Жалоба Share Опубликовано 7 июня, 2014 В этом можно быть уверенным на 100% ? даТо есть, Вы считаете, что благодаря мягкости катетера повреждений эндотелиальных клеток не происходит? невозможно отрицать повреждения на клеточном и субклеточном уровне. единственное повреждение эндотелия а точнее сказать реакция интимы на металлические стенты, образование нео интимы.стенты с антипролиферативным покрытием лишены этой проблемы практически полностью. Много ли Вы видите атеросклеротических проявлений? прояаления атеросклероза мы видим в ввиде образования стенозов (сужений) во внутреннем просвете сосуда, а так же кальциноз коронарных артерий при длительно существующем атеросклеротическом процесе и часто при сахарном диабете. Действительно ли они являются таковыми, как нас учили? да. Насколько велика опасность образования эмбола (при работе в атеросклеротически поражённых сосудах) в результате Ваших действий? всегда есть опасность проникнуть коронарным проводником под бляшку, но каждый случай индивидуален, поэтому у нас арсенал проводников разной жёсткости, формы и покрытия.Готовите ли Вы пациента перед проведением своих операций: пытаетесь ли как-то поменять/адаптировать реологические свойства крови, изменить баланс свёртывающей и противосвёртывающей систем? Пациенты сдают обязательные анализы перед поступлении к нам: ОАК.ОАМ.мочевина, креатинин, глюкоза, свертывающую систему, вич, геп с. рв..если у пациента имеются абсолютные противопоказания со стороны сверт и противосверт систем мы не берем его в операционную. .и конечно если пацинт уже лежит в каком либо из отделений, то мы докторов призываем к коррекции показателей. единственные кто к нам поступает без анализов - это пациенты по экстренным показаниям.Да, Вы работаете не катетером эндоскопа, а просто одним катетером, что ли? Значит, облучаете пациента и облучаетесь сами (работаете под R-контролем) ? катетерами разной формы что главное, а так же длинны и внутреннего диаметра. да к сожалению, но мы не работаем на обычном рентгенаппарате, у нас ангиограф фирмы сименс, старенький по нынешним меркам, но работающий тьфу тьфу тьфу)). доза для пациента не велика, при диагностических операциях, а так же и при стентировании. точно не больше чем на аппаратах КТ. а мой личный наружный дозиметр показал однажды верхнюю границу порогового уровня, это при мной выполненных операциях около 15 в день. Ссылка на комментарий Поделиться на другие сайты More sharing options...
Niels Опубликовано 7 июня, 2014 Жалоба Share Опубликовано 7 июня, 2014 Ну, если выполнить срочную операцию во время развивающегося инфаркта миокарда - можно спасти жизнь. Или нет? Ссылка на комментарий Поделиться на другие сайты More sharing options...
anthony Опубликовано 7 июня, 2014 Автор Жалоба Share Опубликовано 7 июня, 2014 А в случае например трехсосудистых поражений итд, имеется в виду если требуется АКШ. направляете в ФЦССХ? да если выявляем то направляем в ФЦССХ по электронке, и они уже отвечают нам что берут или нет. а так трёхсосудистные смотря какое поражение то стентировать то же возможно. нужно поглядеть коронарографию Ссылка на комментарий Поделиться на другие сайты More sharing options...
Онотолег Опубликовано 7 июня, 2014 Жалоба Share Опубликовано 7 июня, 2014 В этом можно быть уверенным на 100% ? если выполнить срочную операцию во время развивающегося инфаркта миокарда - можно спасти жизнь. можно.... но только в федеральном центре... Ссылка на комментарий Поделиться на другие сайты More sharing options...
anthony Опубликовано 7 июня, 2014 Автор Жалоба Share Опубликовано 7 июня, 2014 Ну, если выполнить срочную операцию во время развивающегося инфаркта миокарда - можно спасти жизнь. Или нет? конечно, если вы картинки смотрели, пациент своими ногами ушёл в итоге, без признаков сердечной недостаточности да же.а так мог остаться инвалидом Насколько я помню, могу ошибаться, операции по реваскуляризации миокарда не продлевают жизнь и не уменьшают риск повторного ИМ. Лишь влияют на качество жизни. скорее ошибаетесь. если вы прижмете стентом атерослеротическую бляшку, то при этом не будет возможности для её разрыва а собственно и для повторного ИМ. а так же соотетственно и влияет на отдалённую смертность Ссылка на комментарий Поделиться на другие сайты More sharing options...
Niels Опубликовано 7 июня, 2014 Жалоба Share Опубликовано 7 июня, 2014 anthony Огромное спасибо за ответ. Как Ваша деятельность финансируется? Если по квотам на высокотехнологичную помощь, то вопрос. Мне уже несколько источников говорили, что Минздравовский приказ о порядке оказания высокотехнологичной медицинской помощи - до конца 2014 года. Вы что-нибудь слышали об этом? Будет ли издан очередной приказ, продлевающий действие сложившейся уже системы оказания высокотехнологичной медицинской помощи, или всё закончится (закончится, в первую очередь, финансирование) ? Ссылка на комментарий Поделиться на другие сайты More sharing options...
anthony Опубликовано 7 июня, 2014 Автор Жалоба Share Опубликовано 7 июня, 2014 genom Они, насколько я понимаю - это конечный этап. Если они чего-то не делают, то в ФЦ ССХ направляет тот, кто направил бы и к ним (пол-ка по месту жительства) . В случае с острым инфарктом - конечно, времени нет. Можно надеяться, что средняя продолжительность жизни увеличится теперь? В любом случае, очень здорово, что на Форуме появился теперь такой специалист. конечно ФЦССХ это наши без преувеличение короли, учителя. коронарное шунтирование у нас могут быть выполнены в АМОКБ, но содержание АИКа дорогостояще для муниципальной больницы. бывает что ФЦССХ отказывает в КШ, тогда мы проводим реваскуляризацию ввиде балоннойангиоплатики и стентирования, если диаметр артерий позволяет на них работать. Ссылка на комментарий Поделиться на другие сайты More sharing options...
anthony Опубликовано 7 июня, 2014 Автор Жалоба Share Опубликовано 7 июня, 2014 anthony Огромное спасибо за ответ. Как Ваша деятельность финансируется? Если по квотам на высокотехнологичную помощь, то вопрос. Мне уже несколько источников говорили, что Минздравовский приказ о порядке оказания высокотехнологичной медицинской помощи - до конца 2014 года. Вы что-нибудь слышали об этом? Будет ли издан очередной приказ, продлевающий действие сложившейся уже системы оказания высокотехнологичной медицинской помощи, или всё закончится (закончится, в первую очередь, финансирование) ? стентирования при ОКС оплачивается из фонда ОМС, в прошлом году всё квотировалось, квота открывалась уже в отделении после того пациента проопераруют. в данном году насколько мне известна информация стентирования больше не будут относится к высокотехнологичной помощи. только КШ. но остаётся ещё много операций на сердце например закрытие деффектов межпредсердной перегородки окклюдером.но это уже прерогатива пока что ФЦССХ. так что финансирование не закончится, все перейдёт в ОМС. Ссылка на комментарий Поделиться на другие сайты More sharing options...
Niels Опубликовано 7 июня, 2014 Жалоба Share Опубликовано 7 июня, 2014 anthony так что финансирование не закончится, все перейдёт в ОМС.В таком случае это означает, что пациенты из других регионов, которым оказывалась высокотехнологичная медицинская помощь, будут (при отсутствии квот) от неё отрезаны (Я имею в виду бесплатную для пациента помощь) ? Ссылка на комментарий Поделиться на другие сайты More sharing options...
anthony Опубликовано 7 июня, 2014 Автор Жалоба Share Опубликовано 7 июня, 2014 anthony В таком случае это означает, что пациенты из других регионов, которым оказывалась высокотехнологичная медицинская помощь, будут (при отсутствии квот) от неё отрезаны (Я имею в виду бесплатную для пациента помощь) ? моё мнение на счёт плановой помощи-найдётся способ финансировать думаю. а при ОКС наоборот хорошо,пациент может быть поидее уверен что ему смогут оказать помощь в виде экстреной реваскуляризации миокарда там где сть для этого возможность Ссылка на комментарий Поделиться на другие сайты More sharing options...
Рекомендуемые сообщения
Заархивировано
Эта тема находится в архиве и закрыта для дальнейших ответов.